Skip to main content
Home
About Us
About ECWIS
European Societies of Friends
The Team
Weizmann Institute
About the Weizmann Institute
Impact Report
Facts & Figures
New Scientists
Virtual Visit
Achievements
Overview of Achievements
Fighting Cancer
Advancing Technology
Enriching Education
Protecting Our Planet
Improving Health & Medicine
Exploring the Physical World
Advancing Women In Science
Flagship Projects
Overview of Flagship Projects
Environmental Sustainability
Brain and Neural Sciences
Frontiers of the Universe
Artificial Intelligence
Events
News & Media
ECWIS News & Media
Weizmann Magazine
Weizmann Wonder Wander
Contact
Giving to Weizmann
Home
About us
About ECWIS
European Societies of Friends
The Team
Weizmann Institute
About the Weizmann Institute
Impact Report
Facts and Figures
New Scientists
Virtual Visit
Achievements
Overview of Achievements
Fighting Cancer
Advancing Technology
Enriching Education
Protecting Our Planet
Improving Health & Medicine
Exploring the Physical World
Advancing Women in Science
Flagship Projects
Overview of Flagship Projects
Environmental Sustainability
Brain and Neural Sciences
Frontiers of the Universe
Artificial Intelligence
Events
News & Media
ECWIS News & Media
Weizmann News
Weizmann Magazine
Contact
Giving to Weizmann
July 24, 2025
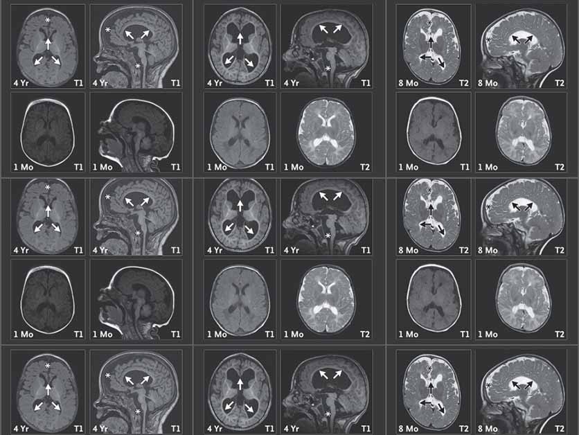
Scientists discover a rare disorder caused by a missing genetic brake
Emma’s Gene
Previous
Next